ここ最近血圧がどうしようもなくなって来た
でも血圧安定させないとどうしようもないからなぁ
ケアセンターでは「運動の後は心臓頑張るから血圧上がって欲しいよねぇ」と言われるし
クリニックでは技士に「運動して体が熱くなると血管広がって血圧下がる事もあるかもね」って言われるし
どっち?って感じ
そんな時、先日透析中に院長に変わり回診に来たのが、患者にもスタッフにも話をよく聞いてくれると評判の良い、本院の腎内科の部長が来た(別に院長ディスってる訳じゃ無いけどw)
ここぞとばかりに血圧の事を相談したら、「じゃ取りあえずDW上げるにも胸水の事もあるので今日終わったらレントゲン撮ってみましょう。横になって撮ってみて、それで対処しなきゃいけない水かどうか見ましょう」となった
話が早いねぇ~w
そんな方法があるならサッサと見て欲しかった
まぁ院長も年で入院したりして中々会わないからなぁ
回診の為に派遣されてくる先生じゃ中々親身になってって感じじゃない
そんな中この先生が来るとみんなここぞとばかりに色々聞くので回診も時間がかかってるイメージがあるw
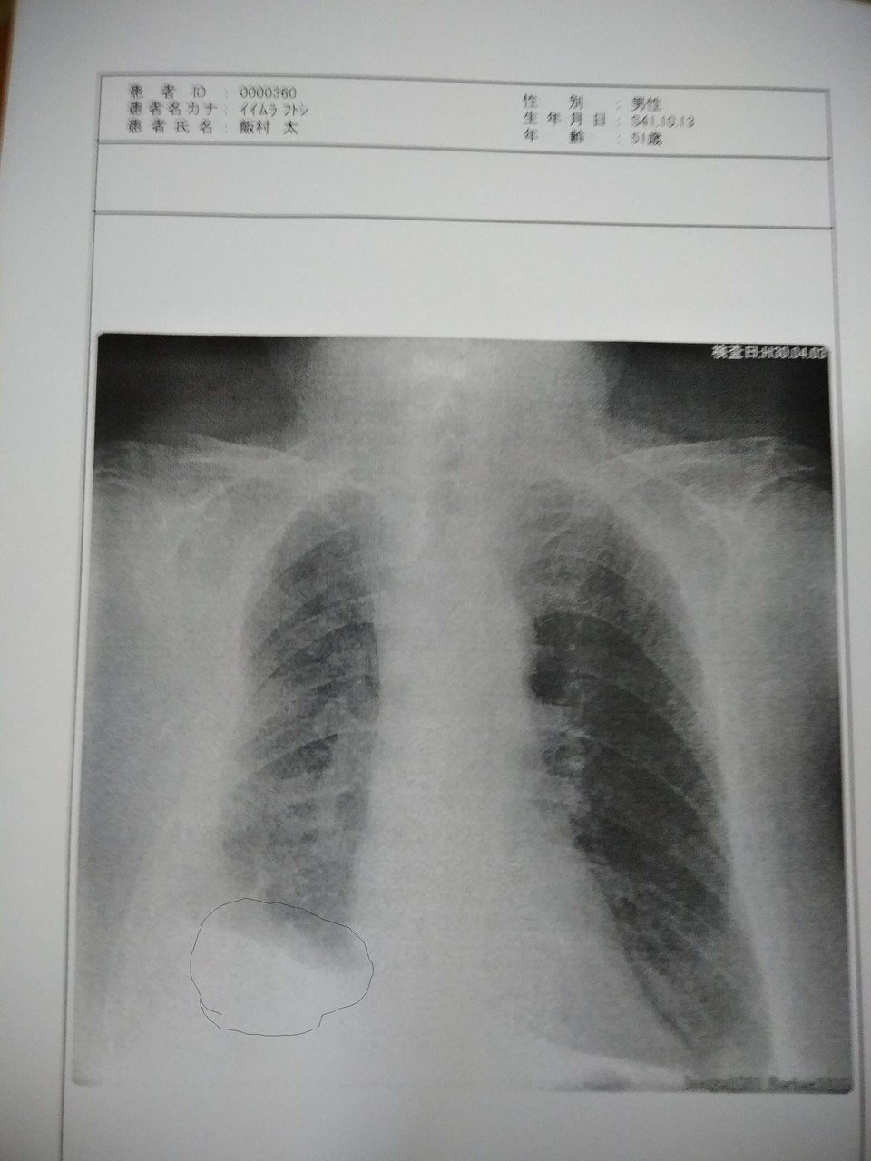
結果は仰向けで撮っても立って撮った時と変わらずに水が動いて無く背中の方とかに行かないらしい
比べた写真も2つとも影の部分が全く一緒
立って撮った写真

寝て撮った写真

左下の丸く囲った部分の水が動いて無いと言う事らしい
「この水の事はあんまり考えなくてもいいかもしれませんねぇ。でも一応呼吸器内科で1度CT撮って見てもらった方がいいかもしれません」と言う事で予約を入れてもらう事になった
次の透析時に看護師から都合の良い日を聞かれたので「呼吸器内科だけじゃ無くて、腎内科の部長にも血圧の事もう1回聞きたいから両方受けられる日が良い」と言ったら5月28日(月)に決まった
何時も3ヶ月に1回定期の受診で行ってる病院はまた別の病院なので、久し振りの本院だ
場所的にはどちらも同じ駅の西口と東口ってだけの違いだけど
まぁ今回両方受けようと決めたのは・・・
レントゲン撮った次の透析時に技士が気になる事を言ってたんだよなぁ
「胸水の事はDW上げるのに気にしなくてもいいみたいですけど・・・90K位までDW上げてもいいんじゃないのって言ってましたよw」
「いやいやいや、今DW84Kだよ。心胸比50%近いんだよ。6K上げるとかあるの?」
「そりゃ一遍にじゃありませんけど。血圧見ながらそれ位までは徐々に上げて行っていいんじゃないかなぁ見たいな事言ってましたよ」
と聞いて自分で話を聞く事にしたのだ
これはダイエットどうしようかなぁ~とか言ってられる状況じゃ無くなって来た?
リハビリで筋肉付けながらダイエットなんて出来るの?
ランキングに参加中 ご協力よろしくお願いします









































